E.T.I.B.S.とは
E.T.I.B.S.とは、

エラスティック・テクニック・インダイレクト・ボンディング・システムの略称で、
いしかわ矯正歯科の石川先生のご協力の下、デンタルファームで考案・開発したインダイレクトボンディング法です。
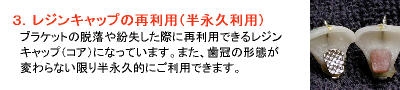
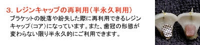
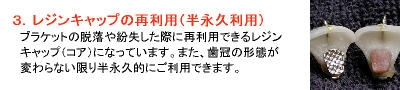
個々の歯に着脱および再利用可能なレジンキャップを製作することでブラケットの脱落時にも対応できるインダイレクトボンディング法です。
このシステムは、平成11年(1999年)に特許を取得しており、翌平成12年(2000年)の日本矯正歯科学会大阪大会では石川剛先生らと「再利用可能な個歯レジンキャップの考案」の題材で学術展示発表を行いました。
また、平成15年(2003年)には、歯ならび矯正歯科医院の和島先生、ハッピー矯正歯科の植木信先生と共に日本矯正歯科学会誌(Orthodontic Waves)には論文として発表しております。
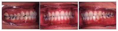
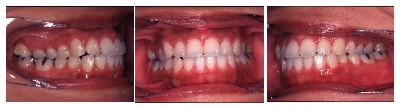
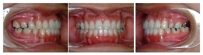
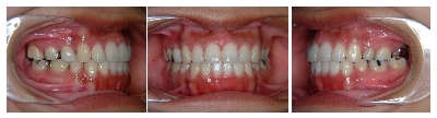
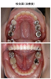
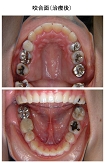
その後、現在までに約2,300症例以上の採用実績を重ねており、各先生方から高い評価を頂いているシステムです。
E.T.I.B.S.の特徴
E.T.I.B.S. 9つの特徴
(エラスティック テクニック インダイレクト ボンディング システム)











関連資料・論文
関連資料・論文
日本矯正歯科学会誌(Orthodontic Waves)
論文発表
和島武毅先生らと2003年8月

■ 共同発表者
歯ならび矯正歯科医院 院長 和島武毅 先生
(
http://www.hanarabi.gr.jp)
■ 関連資料のダウンロード
(Orthodontic Waves Vol.62 No.4 2003)
etibs論文.pdf(3MB)
その他
The International Journal of the MEAW Technic and Research foundation
10:36~44.2003
The International Journal of the MEAW Technic and Research foundation
11:40~47.
(注) 関連資料を閲覧するためにはAdobeリーダーが
必要です。Adobeリーダーは、下記のサイトから
ダウンロードできます。![]()
依頼から製作までの流れ
準備していただくもの
準備していただくもの
E.T.I.B.S.の製作をご注文頂く場合は、医院様で以下のものをご用意の上、デンタルファームまでお送り下さい。
◎ 指示書
・セットアップ指示書
(SET UP INSTRUCTIONS)
・リンガルTP指示書
(POSITIONER,INDIRECT BONDING SYSTEM)
◎ 患者さんのデータ(資料)
◎ シリコン印象(印象)
◎ バイトワックス
◎ バンド
(注)指示書の用紙がお手元に無い場合はご連絡下さい。
シリコン印象から作成する場合
シリコン印象から作成する場合
- シリコン印象採得
- (注)石膏は注入しなくて良いです。
- 作業模型の製作
- セットアップ模型の製作
- 術者(先生)によるセットアップのチェック
- E.T.I.B.Sの製作
- カスタムベ-ス
- レジンキャップ
- アイディアルアーチ
- パラタルバー など
- 患者さんにセット及びボンディング
【シリコン印象を使用した場合の補足】
■ 歯冠形態が正確に再現されている為、
レジンキャップの安定と正確さに優れています。
■ 印象採得が1回で済むので、来院回数を減らすことができます。
通常印象(アルギン酸塩系)から作成する場合
通常印象(アルギン酸塩系)から作成する場合
- アルギン酸塩系印象採得
- (注)正確に石膏を注入して下さい。
- シリコン印象採得
- 作業模型の製作
- セットアップ模型の製作
- 術者(先生)によるセットアップのチェック
- E.T.I.B.Sの製作
- カスタムベ-ス
- レジンキャップ
- アイディアルアーチ
- パラタルバー など
- 患者さんにセット及びボンディング
【アルギン酸塩系印象を使用した場合の補足】
■ アルギン酸塩系印象とシリコン印象との寸法変化の差がレジン
キャップの安定と正確さに影響を及ぼします。
■ 矯正模型用に1つ、E.T.I.B.S.用に1つ、その他、装置用にと
印象採得を最低3回はすることになり、来院回数が増え、その分
のコストも余分にかかってしまいます。
■ 技工所でシリコン印象を採得するので、その分費用がかかって
しまいます。

技工物予約
関連会社 My eye's corp.











